.jpg)
Dr. Sterling sees every patient himself - from cleanings to complex restorations. This hands-on approach builds lasting relationships and ensures total consistency in your care.
We never rush appointments or double-book schedules. Your visit is designed around comfort, understanding, and thoughtful treatment - not volume.
Our recommendations are based on what’s best for your health, not what your plan allows. We’ll help you file out-of-network claims and maximize your benefits.
We believe transparency builds trust. You’ll always understand your options, costs, and expected outcomes before any procedure begins.
From digital imaging to precision endodontics, our technology enhances accuracy while keeping your experience comfortable and efficient.
Warm lighting, friendly staff, and familiar faces - we’ve created a space where you actually look forward to your appointment.
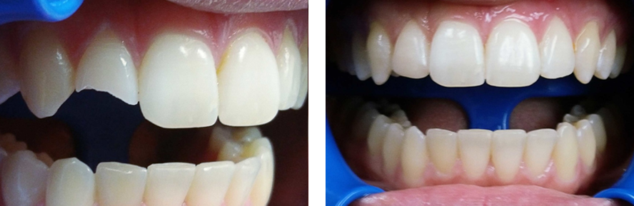
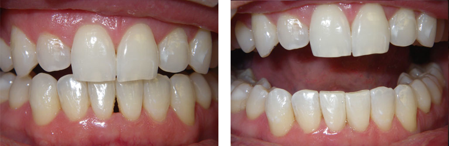
We provide a full range of care — from cleanings and fillings, to cosmetic work, implants, orthodontics, and restorative dentistry. Whether it’s pain, a chipped tooth, missing teeth, or improving your smile, we create a personalized plan based on your goals.
We start with a detailed exam, photos, and a conversation about what’s bothering you. Then Dr. Louis explains every option — including cost, timeline, and pros/cons — so you feel confident choosing the treatment that matches your needs, not someone else’s.
Our approach is gentle, slow, and focused on comfort. We use modern numbing techniques and check in with you throughout the appointment. Most patients say they feel pressure, not pain — and many are surprised by how easy the visit feels compared to past experiences.
It depends on what you need. Simple procedures may take a single visit, while orthodontics or advanced restorative work may require multiple appointments. Before starting anything, we give you a clear timeline so there are no surprises.
Yes. We provide transparent pricing, help you understand your insurance benefits, and offer flexible payment options so you can plan care comfortably. No hidden fees, no unexpected bills.
You’re not alone — and you won’t be judged here. We go at your pace, explain each step, and create a calm, supportive experience. Our goal is to help you feel safe, informed, and fully in control of your treatment.
Schedule your next visit with us so that we can work to help you reach your smile goals. Let us help you achieve your optimal oral health.