

.jpg)
Take a look at the smiles that our dentist, orthodontist and team have made possible at Louis P. Sterling, DDS, PC. We can help any individual who walks through our doors.

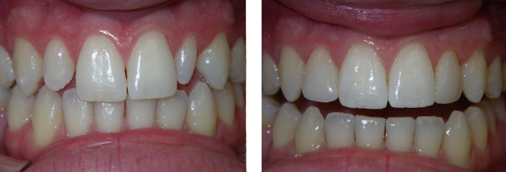
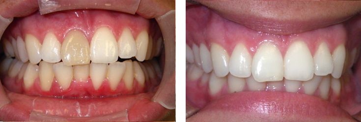
Patient had completed orthodontics and was still unhappy with her smile because of her small lateral incisors. Another dentist told her that only crowns would give her a result she would like. She did not want a procedure as drastic as that. In one hour, I bonded her teeth to alter their appearance. She left our office smiling and has not stopped!

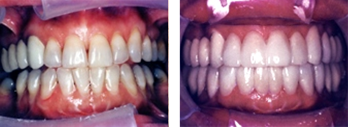
Patient wanted a quick fix for her crooked teeth. She also wanted a brighter smile. I first suggested orthodontics and bleaching, but she wanted something that could be done fast. I then suggested porcelain laminates. She received eight upper and eight lower laminates. Her treatment was completed in three weeks.

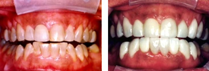
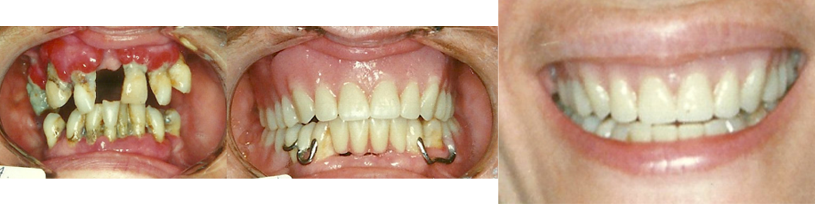
Patient was unhappy with her smile. She wanted a bigger, bolder, brighter smile. She was missing some back teeth and wanted to fill in her spaces to allow her to eat better. Her treatment was more complex, as it required that I totally alter the way her front and back teeth met. Patient had a total of 12 porcelain laminates (six on top and six on the bottom) and four cemented porcelain bridges that filled the spaces caused by her missing teeth. Her smile is beautiful, and she loves the improvement in her ability to eat.

Patient is a high school senior who broke his tooth while playing football. With an important party to attend the same night, I was able to restore his broken tooth with bonding. I was not sure how well it would hold up (considering his usual high school sports activities). So far, eight years and still going strong!
.png)
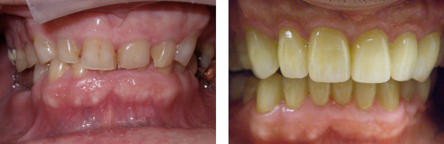
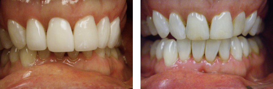
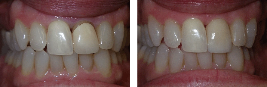
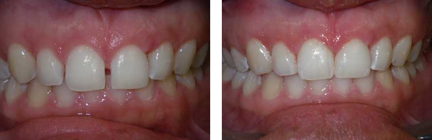
Patient came into the office requesting crowns for her front teeth. She was told (by another dentist) that she would also need root canal treatment. Upon speaking with her, I discovered that she was unhappy with the space between her two front teeth. Suggested that we try bonding first. She agreed. Here are the results. No anesthesia was needed, and this procedure is completely reversible if she ever wants her space back. No root canal treatment was needed!
Monday: 12:00 p.m. - 7:30 p.m.
Tuesday: 10:00 a.m. - 7:30 p.m.
Wednesday: 12:00 p.m. - 7:30 p.m.
Thursday: Closed
Friday: Closed
Saturday: 9:00 a.m. - 3:00 p.m.*
Sunday: Closed







.webp)




.png)
.png)
.png)

.png)
.png)
.png)
.png)
.png)
.png)